通院する歯科医院を選ぶのは難しいことだと感じます。歯科医院の選択の一つの材料として、当院の治療例を挙げます。ご自身の悩みと一致する、もしくは近しい方の治療例があれば幸いです。
当院の症例ページの費用は、費用一覧のページをご参照ください。
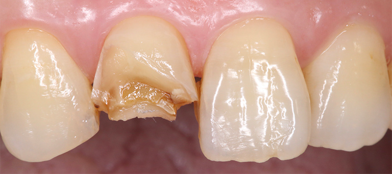
前歯が折れた
奥のつめものが取れた
フルマウスリコンストラクション・咬合再構成
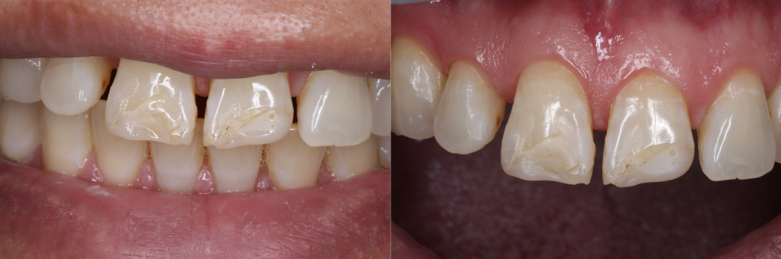
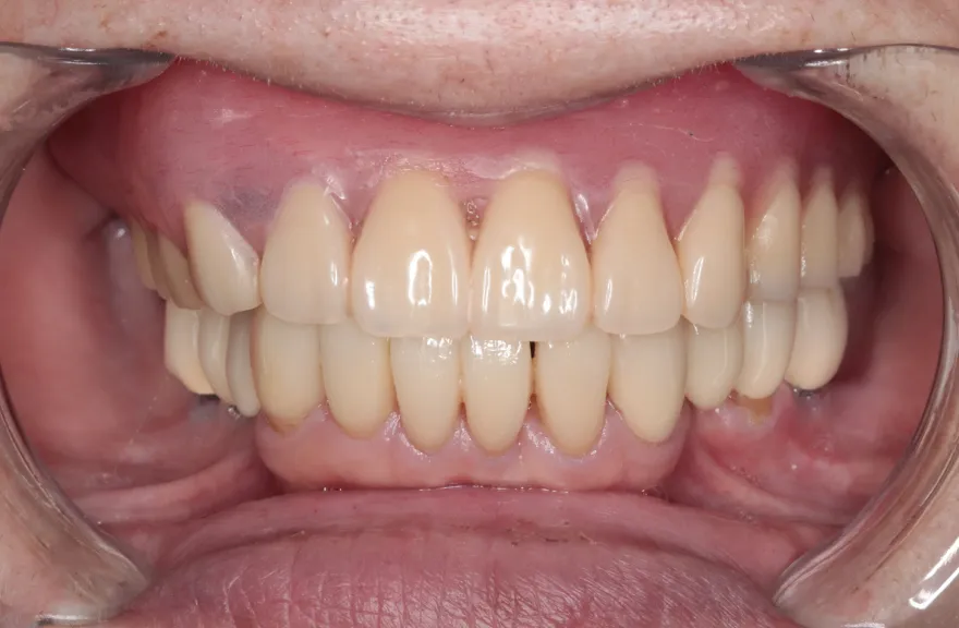
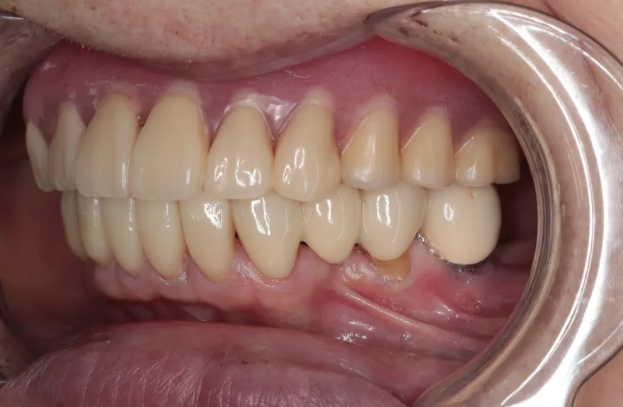
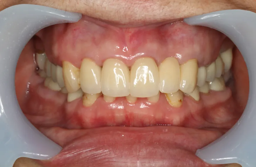
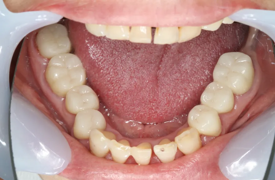
前歯を綺麗にしたい
- 相談内容
- 前歯を綺麗にしたい
- 患者情報
- 40代男性
- 来院時悩み
- 特になし
- 治療前の状態
- 空隙歯列(すきっぱ)、歯牙形態の不整
- 治療内容
- ホワイトニング・ラミネートベニア
- 治療期間
- 4ヶ月
- 治療費用
- オフィスホワイトニング ラミネートベニア 4本
【治療のリスク・注意点】
定期検診で噛み合わせをチェックする必要があり、調整を行うこともあります。噛み合わせの調整に費用はかかりません。メンテナンスが甘い場合、セラミックが欠けたり破損したりすることがあります。
ホワイトニングはほとんどの方が歯を白く明るく変化させることができますが、ごく稀にあまり変化が見られない場合もあります。この方は問題ありませんでした。
定期検診で噛み合わせをチェックする必要があり、調整を行うこともあります。噛み合わせの調整に費用はかかりません。メンテナンスが甘い場合、セラミックが欠けたり破損したりすることがあります。
ホワイトニングはほとんどの方が歯を白く明るく変化させることができますが、ごく稀にあまり変化が見られない場合もあります。この方は問題ありませんでした。
全体的にちゃんと治したい 治療症例
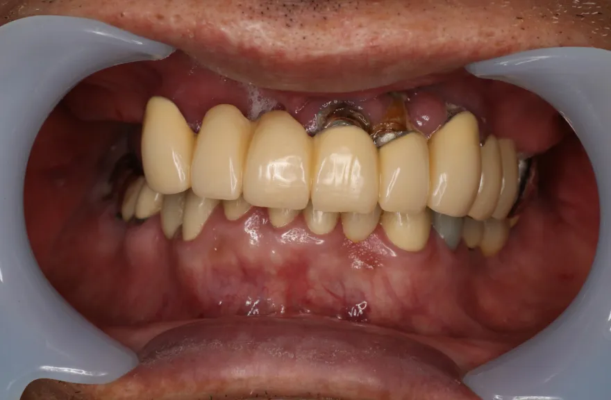
【治療例 1】全体的に見て欲しい 67歳
- 相談内容
-
全体的に診て欲しい、ということで来院されました。歯が痛くなるたびに歯医者には通っていたが、噛み合わせをちゃんと治療したことはないとおっしゃっていました。
上記のように
①しっかりと噛めること
②持続すること
③修理しやすいこと
をポイントに治療計画を相談させていただきました。 - 治療費用・方針
-
写真の通りに治療を終了いたしました。
上顎は総義歯の形態に、下顎は十分な寿命を持った歯は残して、長期的な保存が難しい歯はインプラント治療を施しました。上顎を総義歯形態にすることにより、何かが起こっても義歯の修理を行えば対応が可能です。即日の修理・完了も難しくないでしょう。
下顎は十分な寿命を持った歯しか残していないので、今後の人生でよっぽどのことがない限りトラブルが起きないと考えます。インプラント治療を施してある部分も、同様にトラブルが起きにくいと考えています。歯周病になった、とか歯が欠けた、というインプラント治療の悪い面が聞こえてくるようになりましたが、噛み合う上の歯を総義歯とすることで、過大な力がかかることなく、トラブルが起きにくい結果を得ることができました。
上顎は総義歯ですが、『今まで食べられなかったものがなんでも噛めるようになった』と、患者さんよりお言葉を頂戴しております。
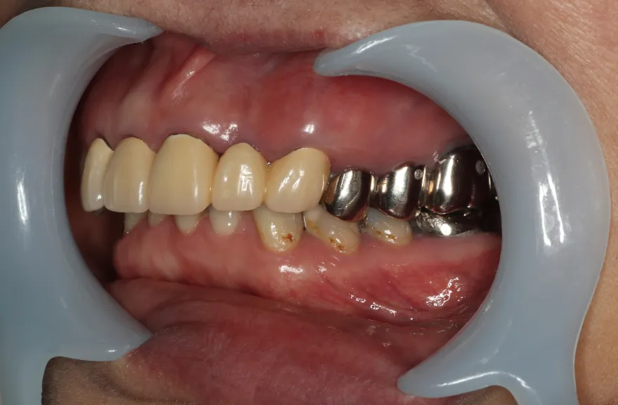
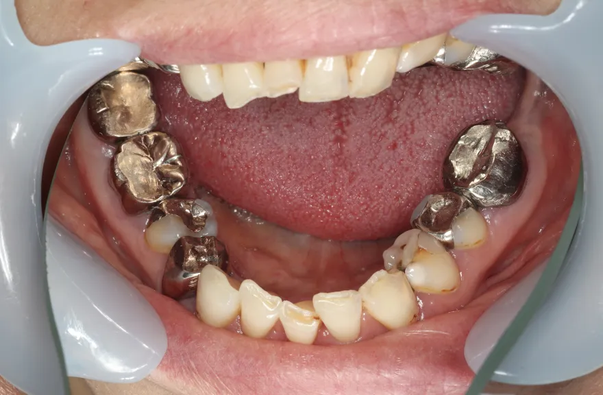
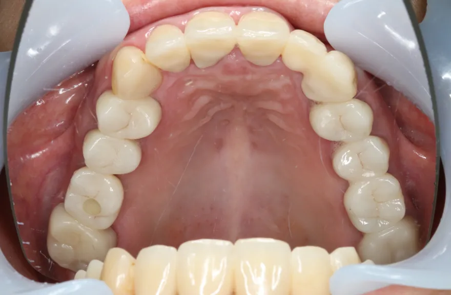
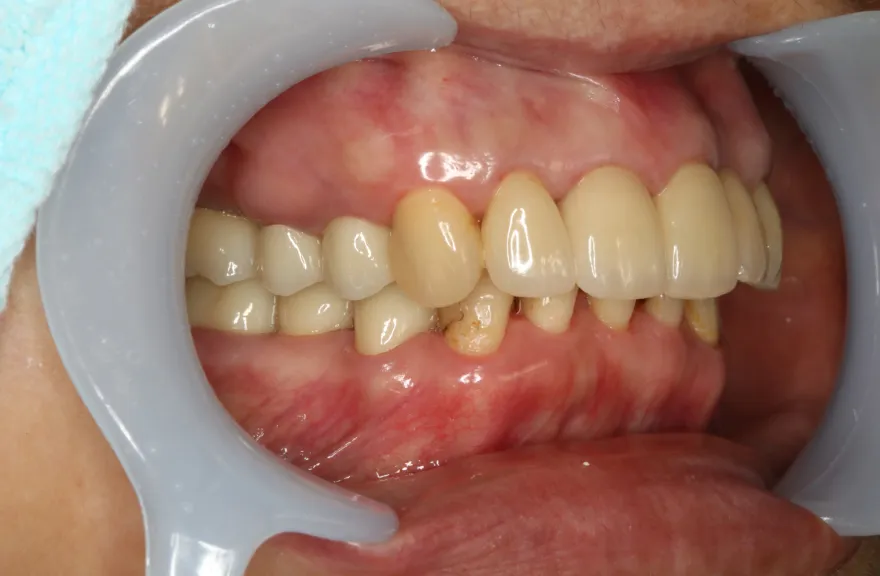
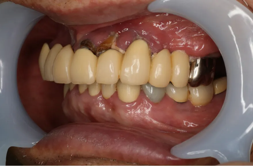
【治療例 2】金属を白くしたい63歳
- 相談内容
-
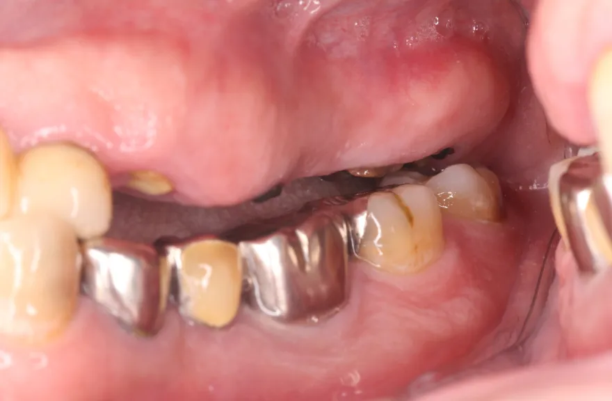
右上の奥歯が取れたということで来院されました。
各所の金属は昔に治療されたもので、外してみるとどれも虫歯になっていました。
一つずつ虫歯治療を行い、インプラント治療、矯正治療を並行して行いました。 - 治療費用・方針
-
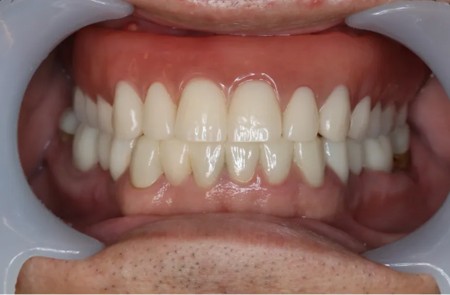
写真の通りに治療を終了いたしました。
各所虫歯に侵食されていましたが、歯を残すことができたのでインプラントの数をおさえることができました。
下の前歯が先天的に1本欠損しており、そのため噛み合わせを構築することが難しいケースでした。矯正治療を併用することで前歯と奥歯をバランスよく噛ませることに成功しました。
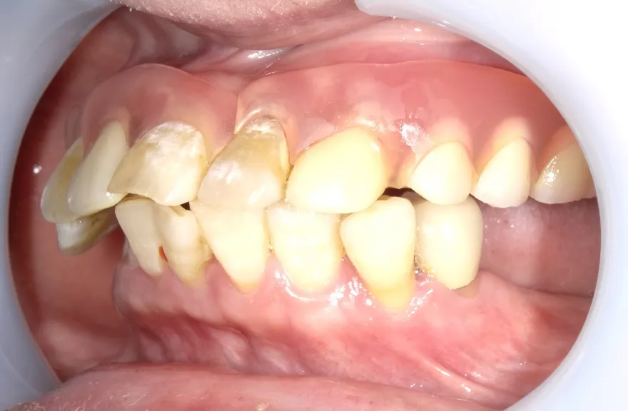
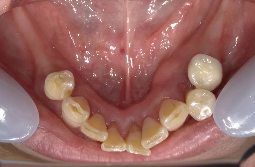
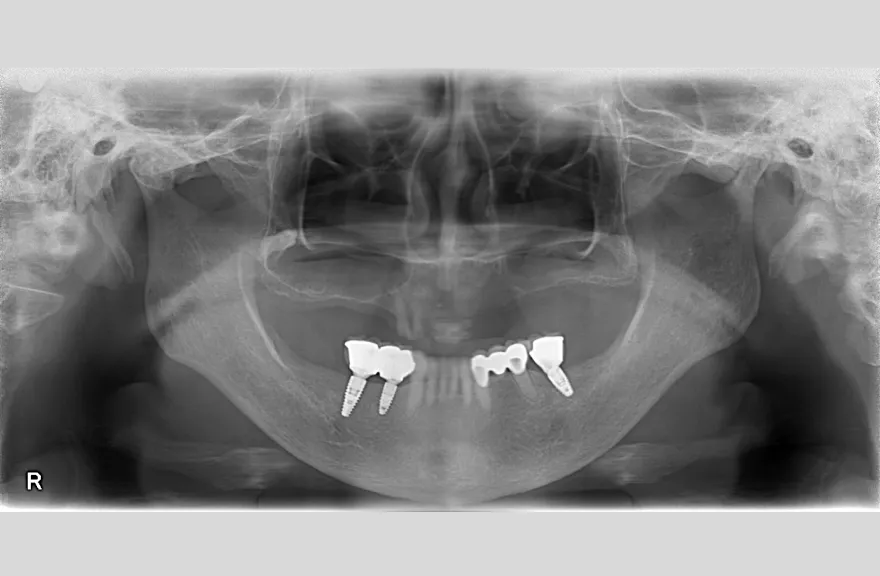
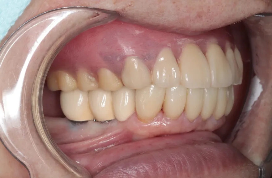
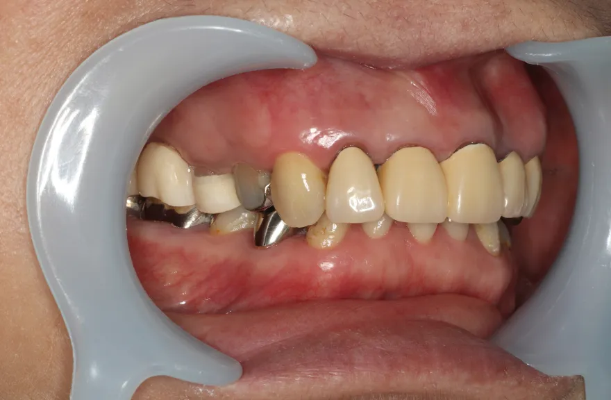
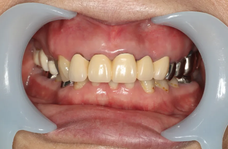
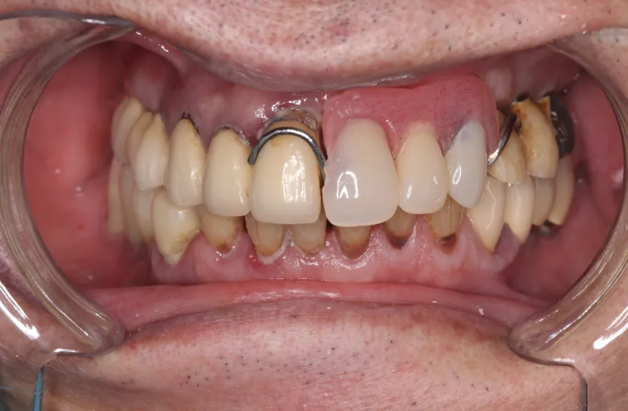
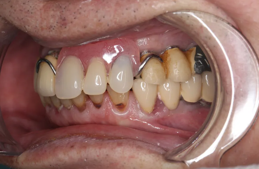
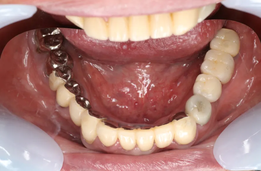
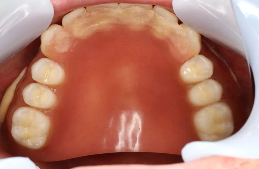
【治療例 3】奥歯が痛い、全体的にみて欲しい 60歳
- 相談内容
-
今まで何回歯を入れてもトラブルが起きるために、奥の歯を入れないまま今日に至る、ということでした。
噛み合わせ・骨格を読み解き、今後の人生でトラブルが起きにくいように全体的な治療計画を練りました。 - 治療費用・方針
-
骨格の前後的な差がある方でした。術前のレントゲンより、上下で歯牙の損傷に明らかな差があるのがみてとれます。
上の歯がないところにインプラント治療を行い、上顎は全てインプラントフィクスチャーによる固定性の歯を入れられることも費用的には可能な方でした。
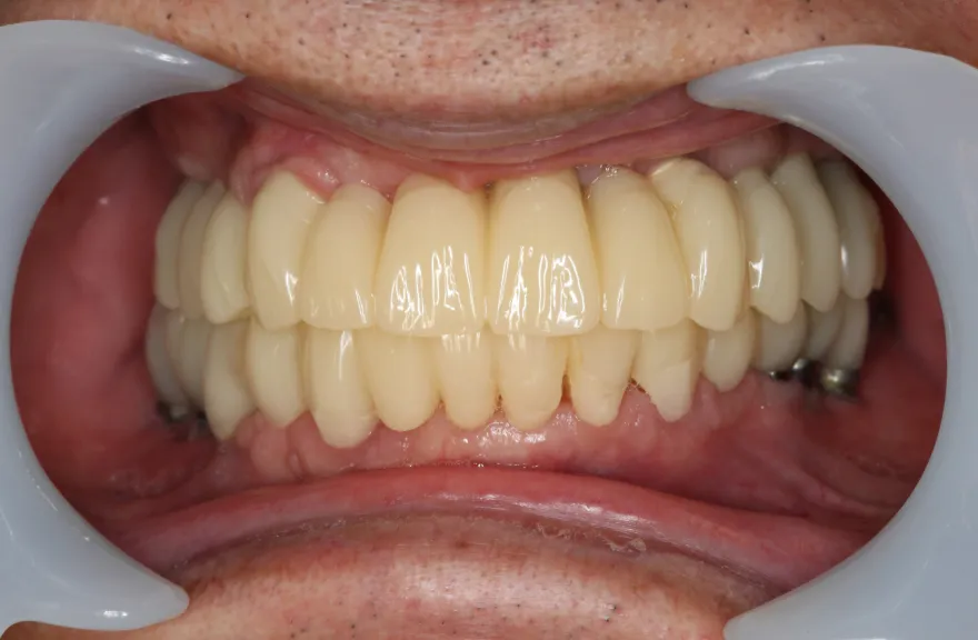
しかし、治療において重要なのは今目の前の歯を見ることではなく、なぜ目の前の歯になったかを考え、未来へ活かすことです。
骨格的な前後差を考慮することなく歯をいれても、装着した人工物は決して長持ちしません。
今回の症例では、敢えて上顎は総義歯形態をとり、骨格的な前後の差を解消するよう工夫しました。
上顎の残っていた歯も、差し歯としては使えずとも、敢えて根だけ残すことによって組織を温存し、義歯の安定に寄与するよう設計しました。
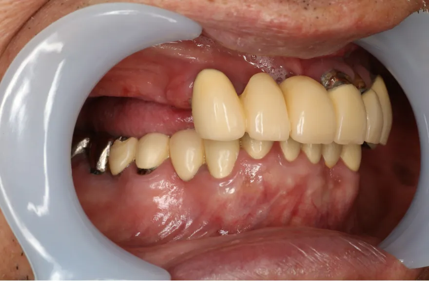
ここまで全体的にしっかり治療しておけば、今後の人生においてトラブルになるようなことにはならないでしょう。 - 治療のリスク
-
上顎の総義歯は、馬蹄形という上顎の覆う部分が小さいタイプで作成いたしました。強度に劣るため、割れる可能性があります。
下顎のクラウン・ブリッジは、丁寧な形成・印象処置と自費専門の技工士によって製作されたもので、虫歯による損傷が今後起こりにくいとは考えますが、定期的なメンテナンスは必須であり、生涯もつものではありません。
神経のない歯(失活歯)は神経がある歯に比べて力が大きくかかりやすく、根が割れたりするリスクがあります。割れ方にもよりますが、基本的には歯が割れてしまうと抜歯処置を行わなければならないことがほとんどです。
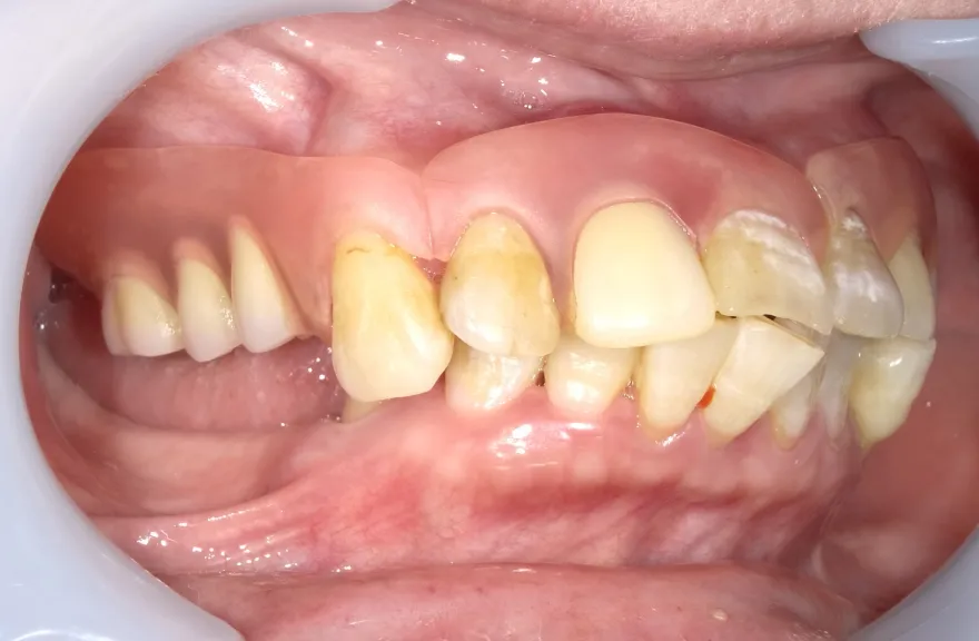
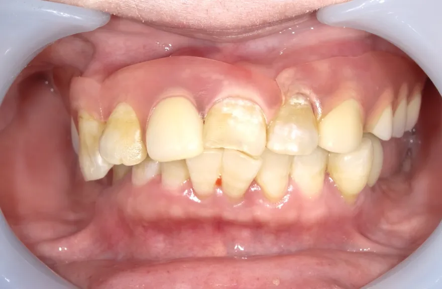
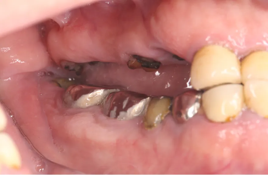
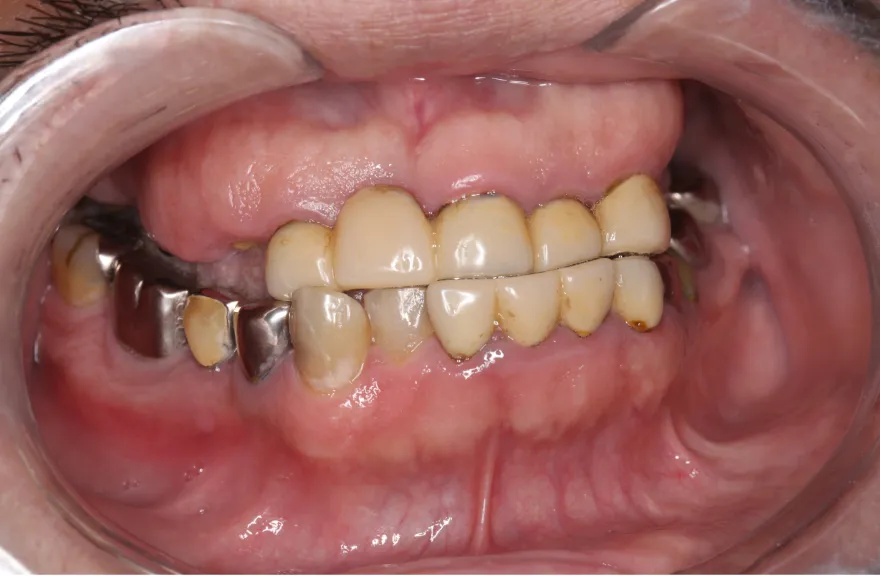
【治療例 4】左上のインプラントがとれた 歯が欠けて困っている 79歳
- 相談内容
-
他院で治療を行ったインプラントの歯が取れたということでいらっしゃいました。
また、あちこちの被せ物が欠け、困っているとのことでした。 - 治療費用・方針
-
既にインプラント治療がなされており、使えるインプラントを使いながら足りないところにインプラントフィクスチャーを埋入し、噛み合わせを再構築する必要がある方でした。
上の前歯、右上の奥歯のインプラントはもう既に使える状態ではなく、また年月を経てすり減ってしまった下の前歯は噛み合わせを再構築する上で利用が難しい状況でした。
年齢を考えると、今回の治療で歯科治療を終えてしまい、残りの人生においてはメンテナンスのみで歯科へ通う状況を作りきってしまうことが求められました。
以上より、潔く残っている歯牙は抜去させていただき、上下をインプラントフィクスチャーによって固定式の歯を入れることとしました。 - 治療のリスク
-
レントゲンをよく見るとお分かりいただけるかと思いますが右下の奥歯のインプラント(レントゲンでは左右逆にうつるので、左下)が既にインプラント周囲炎になっていました。
本当に治療をやり切ってしまうなら、右下の奥2本のインプラントを抜去、新しいインプラントフィクスチャーを埋入すべき症例でした。
しかし、患者さんとの話し合いで、「まだ使えるインプラントは置いておこう」ということになり、右下のインプラントは置いたまま治療を行っています。今後の人生の中で腫れたり痛む可能性があることは重々ご承知いただいております。
複数のインプラントフィクスチャーの埋入においては埋入位置がずれると後々のクラウン製作に難が生じます。そのリスクを最低限にするため、ガイデッドサージェリーを行っております。
【治療例 5】上の歯がグラグラで困っている 62歳
- 相談内容
- 数年前に全体的に治療したが、上のつながっている歯がグラグラして噛めないということで来院されました。
- 治療費用・方針
-
上顎は5本の歯を保険のブリッジ治療で連結してある状態でした。どの歯の状態も良くなく、今回なんとか治療を行ったとしても近いうちに再びトラブルを起こしてくることが予想されました。
下顎は9本の歯が残っており、虫歯はあるものの差し歯として使える状況でした。
しかし、患者さんとの話し合いの中で、「数年前に行った治療なのに再び全てやりかえないといけないのは単純にしんどい。もうやりかえのないようにしたい」という患者さんの強い思いが伝わってきました。
今回で完全に治療をやり切ってしまい、今後は最小限の介入で歯科と付き合えるよう、上下顎残っている歯の全ての抜歯、必要な本数のインプラント埋入、上顎は総義歯形態で対応することとしました。 - 治療のリスク
-
インプラント治療は決して虫歯にはなりませんしかし歯周病にはなります。
ただ、歯を失った原因を考慮する必要があります。
この方はこれまで虫歯で歯を失ってきた方でした。残っていた歯は、特に下顎の歯は歯周病に侵されることなく今に至った方です。
そういった方がインプラント周囲炎になる状況はあまり考えにくく定期的なメンテナンスのみしっかり行っておけば今後の人生においてトラブルを起こすことは心配しなくて良いかと考えます。
上顎の総義歯は時間と共にすり減り、劣化していきます。
10年ごと程度でやりかえが必要な可能性がありますが、虫歯治療のようにお口の中でドリルを使って削ったりする必要はなく、歯型をとって技工士へ製作を依頼するだけなので、治療の負担は限りなく小さいと言えるでしょう。
06-6765-1700



ご予約











































































