●治療方針の決定●|松屋町・谷町・長堀橋の歯医者|ささき歯科医院|大人から子どもまで通える総合歯科

〒542-0067 大阪府大阪市中央区松屋町 3-20

ご予約・お問い合わせ06-6765-1700

診療時間
8:30 - 13:00
14:30 - 18:30

土曜日:9:00 - 13:00 | 
休診日:水曜・日曜・祝日

●治療方針の決定●

●治療方針の決定●|松屋町・谷町・長堀橋の歯医者|ささき歯科医院|大人から子どもまで通える総合歯科

ご予約・お問い合わせ 06-6765-1700

24時間受付中LINE予約 アクセス情報など ご来院の方へ

PAGETOP

社会にイイね!を、社会からイイね!を、ささき歯科医院です。

 

患者さんと絶対に決めないといけない、治療方針について、投稿いたします。

 

治療方針、治療計画は歯科医師と患者さんの2者で決定されます。

 

歯科医師は治療方針を決定するために、

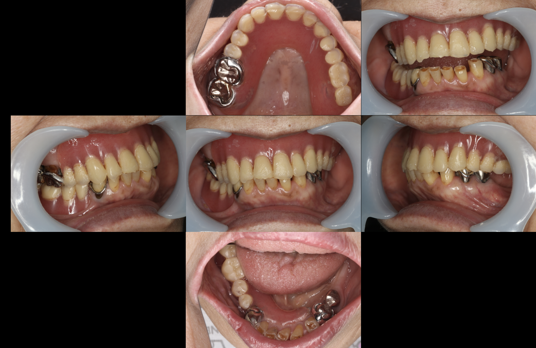
お口の中の写真を撮ったり、

 

お顔の写真を撮ったり(患者さんの許可を得て掲載しています)、

 

レントゲンを撮ったりします。

 

他にも骨の状態を調べるCT写真を撮影したり、

 

頭の骨、上顎の骨、下顎の骨の関係がわかる、セファロ側方X線写真や、

 

正面PAX線写真を撮影したりします。

 

これらの様々なデータから、治療方針・治療計画を歯科医師が考えます。

 

そしてその考えた方針・計画を患者さんに説明します。

説明のための個室です。

 

大人三人入るともうギチギチになる個室が当院にはあります、ここに歯科医師と、患者さんと、書記のスタッフが入ります。

 

治療計画をお話しするのに、

・隣に患者さんがいたり

・そもそも隣で何か治療をしていて、ギュンギュン削る音が聞こえたり

・治療台という緊張する場所で色々話をしたり

しても、頭に入ってこないですし、集中して話し合うことはできないと思います。

 

時間も1時間を最低確保します。

 

短時間でぱぱっと話し合えることはまずありません、患者さんの今までの歯科での通院歴や、起こった出来事、歯への希望・思いをお伺いしていると1時間では足りない時すらあります。

 

その時間の中で、治療方針・計画を共有、考えて決定していきます。

 

 

『今までこんな話し合ったことはなかった、話を聞いてもらえて、また詳細に解説していただいてとても嬉しい』

 

 

と患者さんからよくおっしゃっていただけます、ちゃんと時間を取って話し合うことは大事だと感じさせられます。

 

 

 

治療方針の説明 1回 5,500円