-

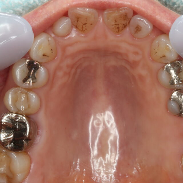
●治療方針の決定002● 銀歯を外すと・・・?!
-

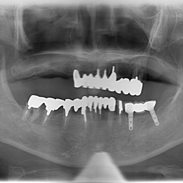
●症例投稿●インプラント治療006 〜治療方針の決定〜
- 2023年1月29日
- インプラント,咬合治療/フルマウス/咬合再構成,院内設備
-

●症例投稿●ダイレクトボンディング 008 ~前歯編~
- 2023年1月29日
- ダイレクトボンディング,院内設備
-

●症例投稿●根管治療012 抜髄治療、イニシャルトリートメントって?
-

●症例投稿●コンポジットレジン充填 007 ~前歯編~
- 2023年1月13日
- 院内設備
-

●症例投稿●根管治療010 大臼歯編 〜マイクロエキスカベーター〜
06-6765-1700



ご予約

