●症例投稿●インプラント治療006 〜治療方針の決定〜|松屋町・谷町・長堀橋の歯医者|ささき歯科医院|大人から子どもまで通える総合歯科

〒542-0067 大阪府大阪市中央区松屋町 3-20

ご予約・お問い合わせ06-6765-1700

診療時間
8:30 - 13:00
14:30 - 18:30

土曜日:9:00 - 13:00 | 
休診日:水曜・日曜・祝日

●症例投稿●インプラント治療006 〜治療方針の決定〜

●症例投稿●インプラント治療006 〜治療方針の決定〜|松屋町・谷町・長堀橋の歯医者|ささき歯科医院|大人から子どもまで通える総合歯科

ご予約・お問い合わせ 06-6765-1700

24時間受付中LINE予約 アクセス情報など ご来院の方へ

PAGETOP

社会にイイね!を、社会からイイね!を、ささき歯科医院です。

 

インプラント治療について投稿します。

 

左の奥歯はインプラント治療をしたが、他の歯をみて欲しい、ということで来院されました。

左下はインプラント治療が施されていましたが、他の歯は保険適応の被せ物、ブリッジ治療が行われており、全てが虫歯になっていました。

 

※かぶせものをしても虫歯になるの?!

なります。

かぶせものというのは、ご自身の歯に人工の歯をかぶせている状態です。

かぶせられているご自身の歯は虫歯菌に浸食されると虫歯になってしまいます。※

 

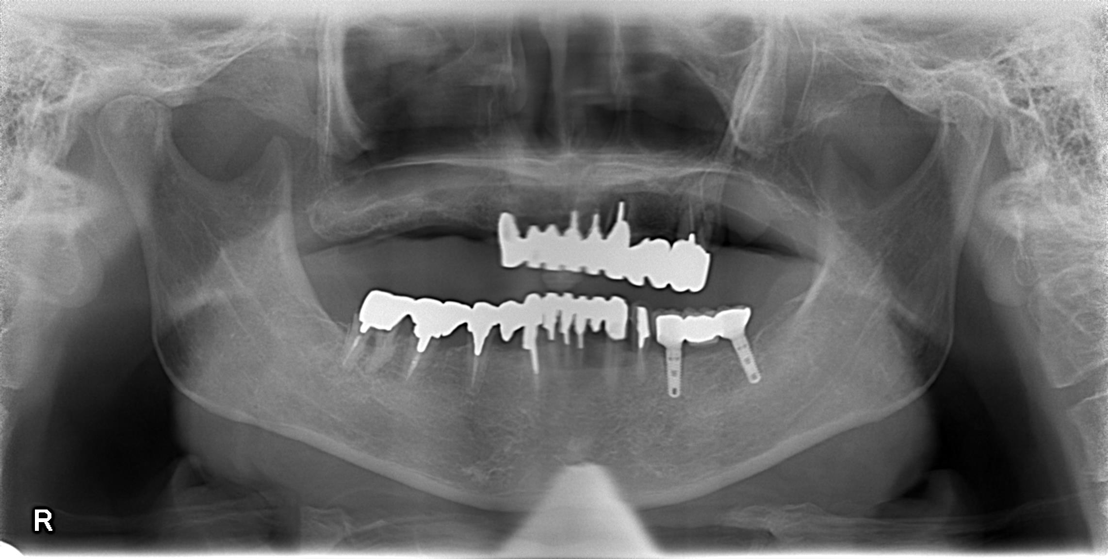
60代後半の方で、もう1回あの治療を行うのはしんどい、歯で困らないようにしてほしい、ということで相談した結果、全ての残っている歯を抜歯、インプラント治療と総義歯の治療を併用することになりました。

 

現在仮歯で噛み合わせの調整を行なっているところです。

 

●残っている歯を全部抜歯?!なんてもったいないことを?!

と思われる方がほとんどだと思います。

 

私はどっちかというとギリギリまで歯を使いたい、残せる歯は残したい、と考えるタイプの歯科医師です。

しかし、60代以上の方で、それまで一生懸命歯医者に通ってきた人の歯・患者さんをみていると、柔軟に考える必要がある、と思うのも事実です。

 

今回のケースでも、1本1本詳しくみていけばギリギリなんとか残せる歯もありました。

けれど、その1本を頑張って残して、たとえば5年後に再びダメになったときに、また通院する気力は残っているでしょうか。

「また悪くなった」「またやりなおさないといけない」

やり直すのにはもちろん費用はかかりますが、通院する時間、精神的ストレスもかかります。

見えているお金だけが全てではないのです。

また、ギリギリ残せる歯というのは往々にして条件がよくありません。

その条件のよくない歯に引っ張られて全体のバランスが崩れるのはよくあることです。

 

上記の写真をご覧になっていただければ、なんとなく綺麗だと思っていただけると思います、仮歯でこの状態です。

残っている歯を全部除去することで、歯科医師・歯科技工士は自由に歯を配置することができます。

ひいてはそれはバランスのいい歯列、歯並びを構築することにつながります。

そして、長持ち、歯の治療で再び通院する確率を大きく下げることにつながるのです。

 

 

治療方針は歯だけを診ることで決して決まりません。

・歯の状態:良いのか悪いのか

・年齢:若いなら無理してでも歯を残す、ご高齢ならもう悩まずに済むよう抜歯も選択肢に入る

・歯並び・骨格:原因の一つなら対策を考えないといけない

・家族の状況:もしご高齢なら、誰かが付き添いで通院しないといけないのかどうか

・仕事の状況:今仕事がものすごく忙しいなら、今は大きな介入はやめておいていつか歯科に通院する期間を明確に設定するべき

etc etc…

様々なことを考えて、相談して、ささき歯科医院では治療方針を決定します。

 

 

 

しっかり噛みたい、歯で困らないようにしたい、ちゃんと治療したい、という方はぜひささき歯科医院へいらしてください。