歯周外科|松屋町・谷町・長堀橋の歯医者|ささき歯科医院|大人から子どもまで通える総合歯科

〒542-0067 大阪府大阪市中央区松屋町 3-20

ご予約・お問い合わせ06-6765-1700

診療時間
8:30 - 13:00
14:30 - 18:30

土曜日:9:00 - 13:00 | 
休診日:水曜・日曜・祝日

歯周外科

歯周外科|松屋町・谷町・長堀橋の歯医者|ささき歯科医院|大人から子どもまで通える総合歯科

ご予約・お問い合わせ 06-6765-1700

24時間受付中LINE予約 アクセス情報など ご来院の方へ

PAGETOP

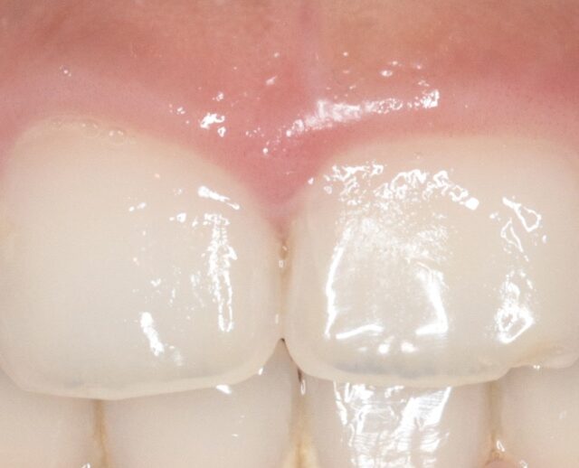
  • ●症例投稿●歯が長い! 歯周外科症例05 CTG

  • ●症例投稿●歯の形が気に入らない。。。 歯周外科症例04 クラウンレングス

  • ●症例投稿●笑ったら歯ぐきが見えてしまう、、ガミースマイル 歯周外科症例03

  • ●症例投稿●歯の長さが違う場合に揃えられる時があります 歯周外科症例02

  • ●症例投稿●歯の長さが違う場合に揃えられる時があります 歯周外科症例01