
社会にイイね!を、社会からイイね!を、ささき歯科医院です。
今日はお口の中の写真を撮る意味を説明させていただきます。
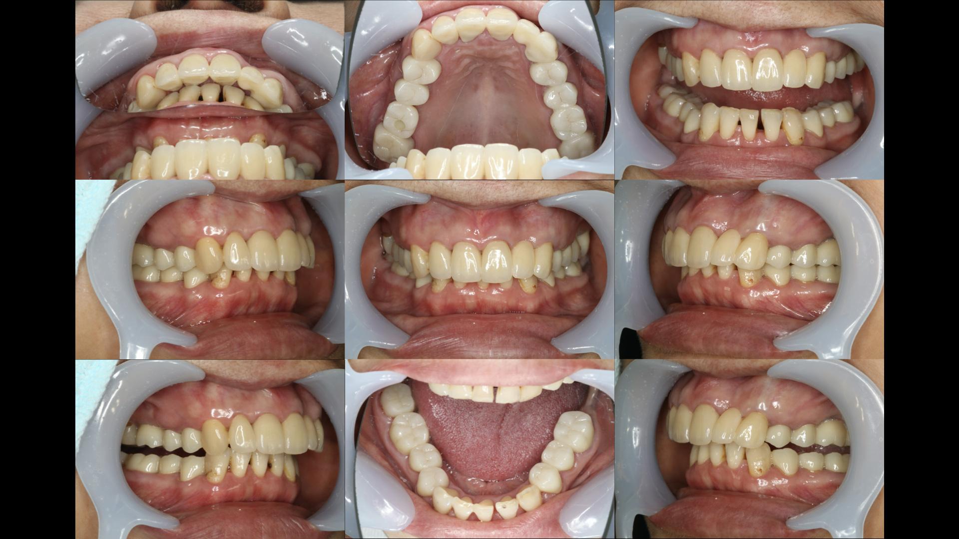
ささき歯科医院では、患者さんのお口の中の写真を撮ります。
必要であればお顔の写真も撮影します。
「見たらわかるやん、なんで撮影するん???」とご疑問に思われる方もいらっしゃるでしょう。
写真を撮ることで、
・患者さんがお帰りになられたあと、歯科医師・歯科衛生士・受付助手・歯科技工士間で症例検討ができる
・百聞は一見にしかず、撮影した写真を患者さんに見てもらうことで治療内容への理解が深まる
・歯科医師が夜な夜な写真を見つめながら、あーでもないこーでもないと治療計画を考える
ことができます。
●症例検討は大事です!●
患者さんのことをなんとなく診るのではなく、歯科医院のスタッフ全員が患者さんのことを理解した上で迎え入れるのとではえらい違いです。
●治療への理解を深めてもらうことは大事です!●
ご自身の歯がどうなっているのか、これからどうなっていくのか、を口で説明してもらうのももちろん大事です。
しかし、声で聞くよりも目で見るほうが明らかにわかりやすいです。そして理解が深まったほうが治療はスッと進みます。
●治療計画を考えるのは大事です!●
「先生に任せといたら大丈夫なんじゃないの?」と思っていただけるのは嬉しいのですが、なかなか日々診療しながら患者さんの治療計画を熟考するのは難しいです。
診療が終わって、じーっと写真を見ながら、整合性が取れるようにじっくり考えることで、よりスムーズに治療が進んでいきます。
よー写真撮るなぁ、と患者さんには思われているかもしれませんが、撮影している写真にはいろんな意味があったりします。
06-6765-1700



ご予約

