
社会にイイね!を、社会からイイね!を、ささき歯科医院です。
今日はインプラント治療の症例を投稿します。

しっかり治療して欲しいということで来院され、インプラント治療を使い、噛み合わせを回復することになりました。

インプラント治療を行う患者さんに私が必ず伝えることがあります。
そのインプラントだけで治療が終われるのか、もしくは今後の人生で再びインプラント治療を行わなければならない未来が来るかもしれないのか、予想しておかないといけない。
ということです。

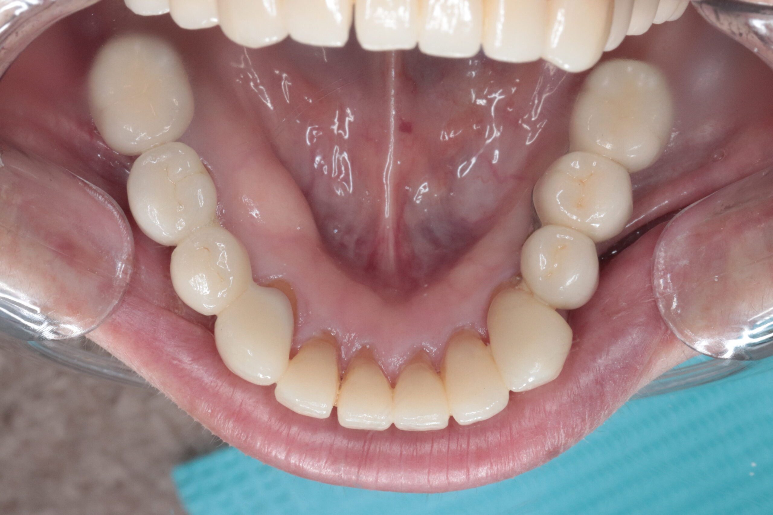
今回は下あごに対して義歯を用いないためにインプラント治療を行いました。
奥歯を全てデンタルインプラントで回復し、今後の人生でもう再治療がないように配置を設計しました。

ここまで歯列を回復させ、噛み合わせを再構築しておけば、今後の人生で再びトラブルが起こる確率を大きく下げることができます。
今回のように、全体的に治療を行い「もうここまでやっておけばあとはメインテナンスだけで歯は保つ」という状況まで持っていく場合もありますが、
「今は一気に行うのは難しいから一部だけ治療を行う」というパターンももちろんあります。
しかしその場合、
・これからの人生で行う可能性のある治療の全て
・これから行う一部だけの治療が、のちの治療に邪魔にならない不整合の出ない治療であること
を満たすことが重要です。
良くあるシチュエーションですが、
「このインプラント治療はいつなさいましたか?」
『これはいついつ行いました』
「その時、別の歯は将来インプラント治療する可能性があることはお聞きになられていますか?」
『いや知りません』
「そうですか、こことここは現在もう既に抜歯になる可能性があるので、義歯を回避するならインプラント治療が必要になります」
『えっ、、、またお金かかるんですか・・・?』
という具合です。
インプラント治療を選ぶなら、
・既に治療が必要な部位は治療費用がかかる
・将来治療が必要になりそうな部位は再び費用がかかる
ことをわかっておかないと、あとで思いも寄らない出費がでてくるかもしれません。
06-6765-1700



ご予約

