
社会にイイね!を、社会からイイね!を、ささき歯科医院です。
今日はセラミックの詰め物をした症例を投稿します。

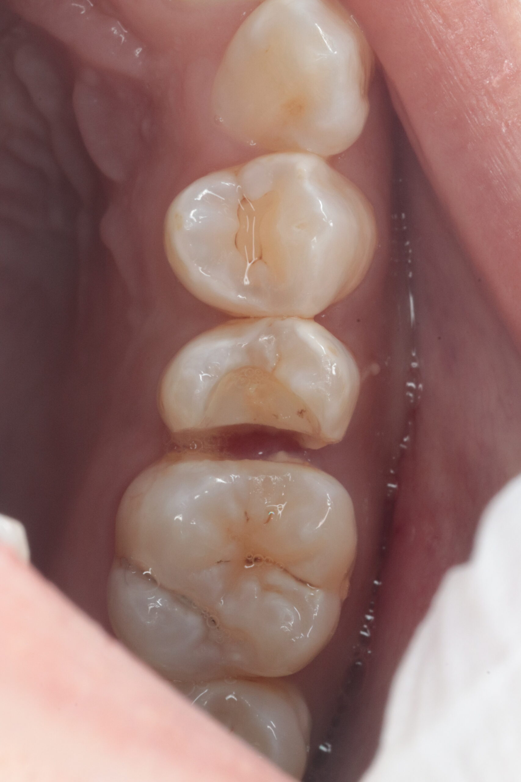
セラミックをセットする前の状態です。
仮蓋を外した直後なので、汚れやプラークが付着しており、綺麗ではありません。
綺麗ではないところにセットしても、長持ちはしません。

プラーク染色液で汚れを可視化し、除去、ラバーダムをかけます。

ラバーダム単味ではきっちり歯のみを露出させることが難しい場合があります。
その場合はフロスを併用し、フロスリガチャーを行います。
効果は段違いです。
歯のみが露出され、歯ぐきが全く見えなくなっていることがわかります。

きっちり処理をして、最後接着を強固にする薬剤を使用して硬化させます。

セットできました。
フロスリガチャーは一時的に歯ぐきを押さえるので出血することがありますが、すぐに治ります、問題ありません。
ささっとセットすることは可能ですが、こだわってセットすることで、5年10年と長持ちする確率が上がっていくと思いながら治療しております。
未来のことは誰にもわかりませんが、一つ一つの手技を十二分に行うことが大事かと考えています。
06-6765-1700



ご予約

