
社会にイイね!を、社会からイイね!を、ささき歯科医院です。
今日は前歯にセラミック治療を行なった症例を投稿します。

前歯にずいぶん前にセラミック治療を行なったが、見た目が変だということでやりかえを行うことになりました。
メタルボンドが装着されています。メタルボンドというのは陶材焼付鋳造冠と言われ、鋳造された金属の冠に陶材を焼き付けたものです。金属とセラミックを足し合わせたものですね。
上記の写真をご覧になっていただければお分かりいただけると思いますが、真ん中の歯の大きさが左右で違っており、やりかえるにあたり是正する必要があると計画しました。
1回目の来院:計画の共有
2回目の来院:前歯2本の仮歯の製作(90分)
3〜4回目の来院:前歯の根管治療(60分、30分)
5回目の来院:前歯のファイバーポストコアのセット(60分)
6〜7回目の来院:もう1本の前歯の根管治療(60分、30分)
8回目の来院:もう1本の前歯のファイバーポストコアセット(60分)
9回目の来院:歯の型取り、色チェック(30分)
10回目の来院:セラミックの歯の色合わせ(30分)
11回目の来院:セット(30分
治療の概要はこのようになることを術前に患者さんと共有し、治療スタートです。

歯の色のチェックを行っているところです。

これはデイトラマックスという器具でお顔のバランスを見ている状況です。
前歯を製作するときに大事なのがお顔とのバランスです。
前歯と両目がズレていると、他人から見えた前歯に違和感が生じます。
両目を引いた線と前歯にズレがないことが重要です。


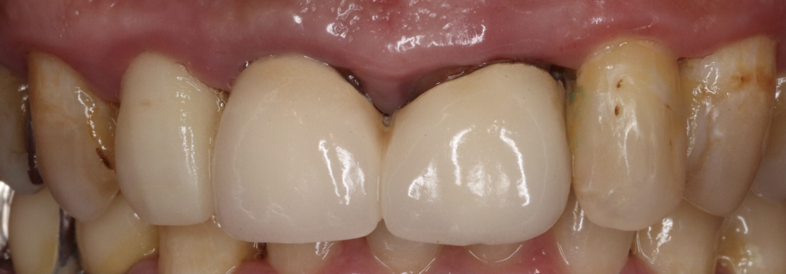
出来上がったセラミックです。
オールセラミッククラウンと言われる被せ物で、詳細にはジルコニアベースのレイヤリングタイプで製作を行いました。
前歯の大きさも揃い、綺麗になりました。
06-6765-1700



ご予約

