●症例投稿●セラミッククラウン005 ~前歯編~|松屋町・谷町・長堀橋の歯医者|ささき歯科医院|大人から子どもまで通える総合歯科

〒542-0067 大阪府大阪市中央区松屋町 3-20

ご予約・お問い合わせ06-6765-1700

診療時間
8:30 - 13:00
14:30 - 18:30

土曜日:9:00 - 13:00 | 
休診日:水曜・日曜・祝日

●症例投稿●セラミッククラウン005 ~前歯編~

●症例投稿●セラミッククラウン005 ~前歯編~|松屋町・谷町・長堀橋の歯医者|ささき歯科医院|大人から子どもまで通える総合歯科

ご予約・お問い合わせ 06-6765-1700

24時間受付中LINE予約 アクセス情報など ご来院の方へ

PAGETOP

社会にイイね!を、社会からイイね!を、ささき歯科医院です。

 

今日は前歯にセラミックのクラウン治療を行った症例を投稿します。

 

術前の状態です。

 

向かって右の一番前の歯が、若干違和感があるのと、歯茎との境目が黒い、ということでセラミックのやりかえを行うことになりました。

向かって左の一番前の歯は、ご自身の天然の歯でした。

 

前歯を1本セラミックで修復するのは難易度がとても高いです。単純によく見えるところ、というのが要因です。

 

歯科医師から見ても、患者さんから見ても、他の方から見ても、誰から見てもよく見える場所なので、かなりしっかり色や形を合わせないと満足のいく結果は得られないです。

 

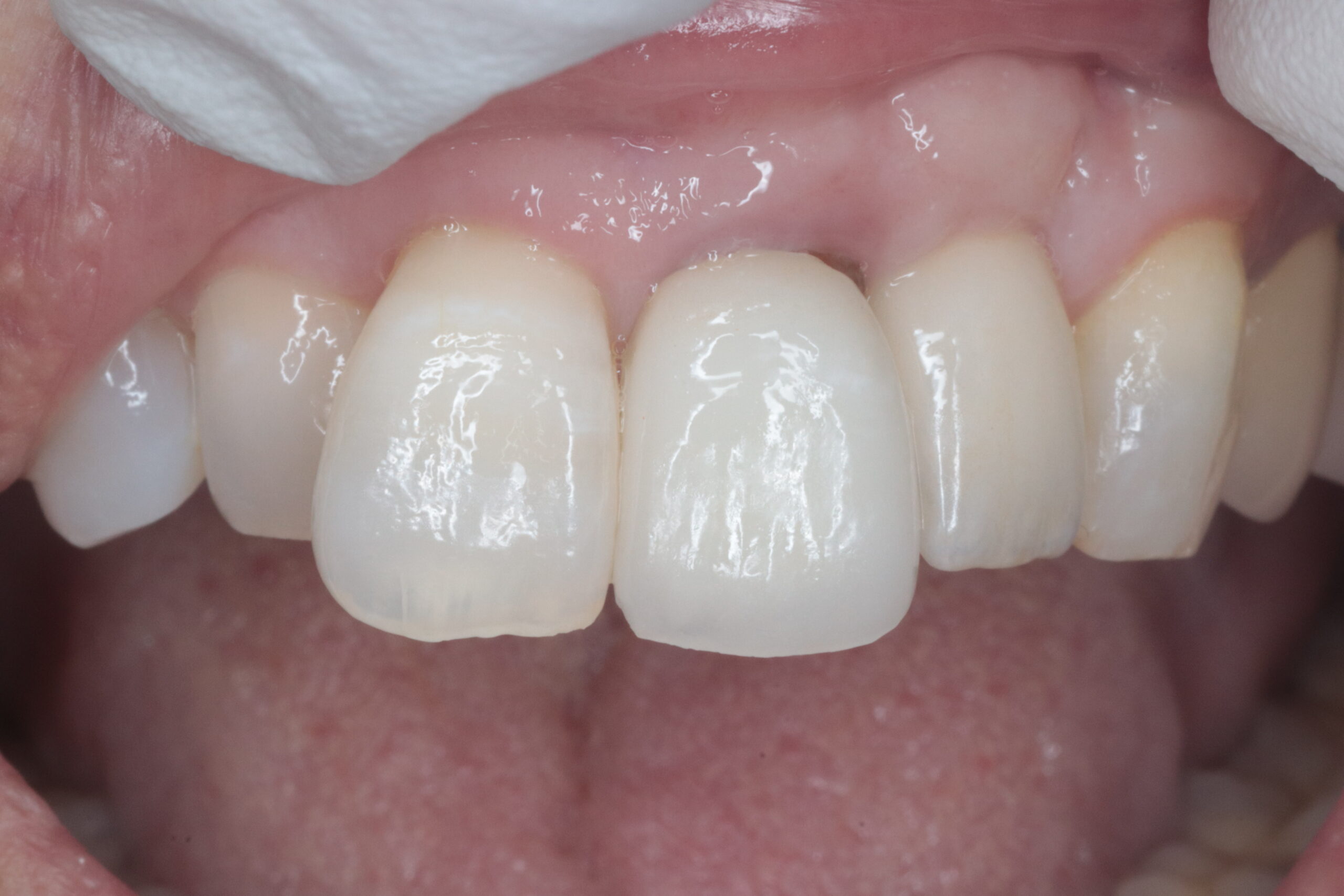
というわけで、、、間はすっとびましたが、出来上がったセラミックです。

 

ここまでアップにしても差がほとんど無いところまで仕上げることができました。

 

引きで見ても、一見では偽物とはわからないでしょう。

 

色合わせに3回の時間を頂戴したので通常よりも回数はかかりましたが、「ばっちりです!」と患者さんに最後おっしゃっていただけたので、私も技工士も大満足です。