●症例投稿●セレックインレー 02 ~小臼歯形成マイクロスコープ編~|松屋町・谷町・長堀橋の歯医者|ささき歯科医院|大人から子どもまで通える総合歯科

〒542-0067 大阪府大阪市中央区松屋町 3-20

ご予約・お問い合わせ06-6765-1700

診療時間
8:30 - 13:00
14:30 - 18:30

土曜日:9:00 - 13:00 | 
休診日:水曜・日曜・祝日

●症例投稿●セレックインレー 02 ~小臼歯形成マイクロスコープ編~

●症例投稿●セレックインレー 02 ~小臼歯形成マイクロスコープ編~|松屋町・谷町・長堀橋の歯医者|ささき歯科医院|大人から子どもまで通える総合歯科

ご予約・お問い合わせ 06-6765-1700

24時間受付中LINE予約 アクセス情報など ご来院の方へ

PAGETOP

社会にイイね!を、社会からイイね!を、ささき歯科医院です。

 

今日はマイクロスコープを用いて形成を行なった症例を投稿します。

 

歯を作るとき、

①虫歯を除去

②裏装剤を入れる

③形成(歯の形を、修復物を装着できるように調整する)

④印象(型取りをして、修復物を製作できるようにする)

⑤製作

⑥セット

という手順で進んでいきます。

 

どのステップも外してはいけないステップです。

 

歯科はかけ算と言われます。

 

この1〜6のステップを全て100点を取らないと100点にはならないのです。

 

例えば形成を10点の出来で次へ進んでしまうと、

①100点

②100点

③10点

④100点

⑤100点

⑥100点

セット後の評価→10点

になってしまいます。

 

形成が適当だと、どうしても印象に変形が起き、またとても製作がしにくくなります。製作がしにくいということは出来上がってきた歯のクオリティーは低く、セットもやりにくくなります。

 

結果評価は下がってしまいます。

 

一つ一つのステップを丁寧にやり切ることが大事です。

 

 

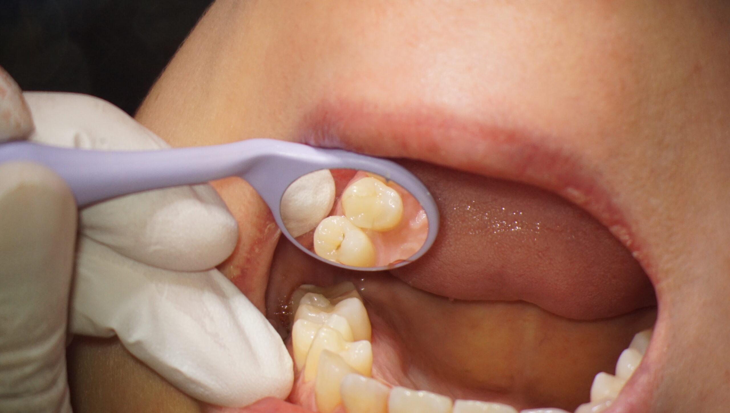
術前の状況です。当院で使用しているマイクロスコープ(グローバルA)に搭載したカメラで撮影したものです。

 

以前に装着されているインレー(比較的小規模の歯への詰め物です)に小さな虫歯があり、やり直すことになりました。

 

マイクロスコープによる拡大画像です。私は虫歯を取るときにはこれぐらいの倍率で処置をしています。

 

※マイクロスコープとルーペの違い※

私は高倍率ルーペ(サージテル10倍、恐らくルーペでは最高か、次点の倍率のものです)をかれこれ10年弱ほど使用しております。

 

マイクロスコープは5年になります。

 

ルーペでも10倍にもなってくるともうそれはそれはめちゃくちゃ見えるのですが、やはりマイクロスコープには敵うべくもありません。

 

ルーペを支えるのは体幹ですが、マイクロスコープは堅牢なアームです。きっちり設計された金属のアームには人体はかないません、視界がめちゃくちゃ安定します。

 

あなどれないのが自分の鼓動です。ルーペも10倍ほどになってくると自分の鼓動に合わせて視界が微妙に揺れます。これがなかなか鬱陶しいです。マイクロスコープにいは鼓動はもちろんないので、安定した視界を得ることができます。

 

また、光源の強さや、光軸の違いなどで、見るということに関してはマイクロスコープにかなうものはしばらくは現れないのではないでしょうか。

 

一部を外し、歯ぐきとの境目の近辺の虫歯を除去します。

 

ここまできたらラバーダムを設置します。

歯ぐきの近辺はラバーをかけたあとあまり触りたくないので先に虫歯をある程度除去してからラバーをかけます。

ラバーをかけたあと、ラバー近辺をドリルで触ると、ラバーがちぎれたりして面倒なのです。

フロスリガチャーも行うことでより安定した視界を得ることができます。

 

拡大視野です。歯ぐきと歯がしっかり分離できているのがわかります。

非常に処置が行いやすく、よりクオリティの高い状態を維持することができます。

 

コンポジットレジンで裏装を行います。

虫歯を除去した空間は製作する人工の歯を完全にフィットさせることが難しいので、材料で埋めるわけです。これを裏装といいます。

 

マイクロスコープを用いて形成を行うとき、ミラーの中の画像と、直接ドリルを見るのと、視点は二つを交互に移動させます。

 

マイクロスコープの弱点は視界の立体感の乏しさです。

 

理由は忘れましたが(笑)、ルーペや裸眼に比べて立体感を捉えにくく、視点をうまく移動させて立体の情報を補完します。

 

しかし、圧倒的倍率と視点の安定さで、形成処置においては大きな大きな助けになります。

 

形成が終了しました。

 

ここからセレックシステムを使用し製作を移りました。

 

ラバーをかけているので撮影もものすごく行いやすかったです。その記事はまた後ほど。