●症例投稿●ダイレクトボンディング 004 ~前歯編~|松屋町・谷町・長堀橋の歯医者|ささき歯科医院|大人から子どもまで通える総合歯科

〒542-0067 大阪府大阪市中央区松屋町 3-20

ご予約・お問い合わせ06-6765-1700

診療時間
8:30 - 13:00
14:30 - 18:30

土曜日:9:00 - 13:00 | 
休診日:水曜・日曜・祝日

●症例投稿●ダイレクトボンディング 004 ~前歯編~

●症例投稿●ダイレクトボンディング 004 ~前歯編~|松屋町・谷町・長堀橋の歯医者|ささき歯科医院|大人から子どもまで通える総合歯科

ご予約・お問い合わせ 06-6765-1700

24時間受付中LINE予約 アクセス情報など ご来院の方へ

PAGETOP

社会にイイね!を、社会からイイね!を、ささき歯科医院です。

 

今日は前歯にダイレクトボンディングを行った症例を投稿します。

 

前に行った前歯のつめものがなんだか変、ということで治療を開始しました。

 

引きで見てみると、なんだか前歯に米粒?がついているような感じを受けます。

 

前歯にラバーをかけて、

 

フロスリガチャーを行います。

 

少しラバーが切れてしまっていますが、必要な分の歯肉の排除、唾液の排除ができていたので続行します。

 

まず今設置されているコンポジットレジンを全て除去します。

 

ダイレクトボンディングを行う前に、プラーク染め出し液で歯の表面の汚れをチェックします。

 

表面に汚れが付着した状態では綺麗に充填することはできません。

 

術前の写真ですが、この状態であれほど汚れがついているとは思わないですよね、やはりちゃんと染色を行うべきだと考えされられます。

 

途中の段階を撮影するのを失念していました、最終段階です。

 

空気を遮断するペーストを塗布、硬化させます。

 

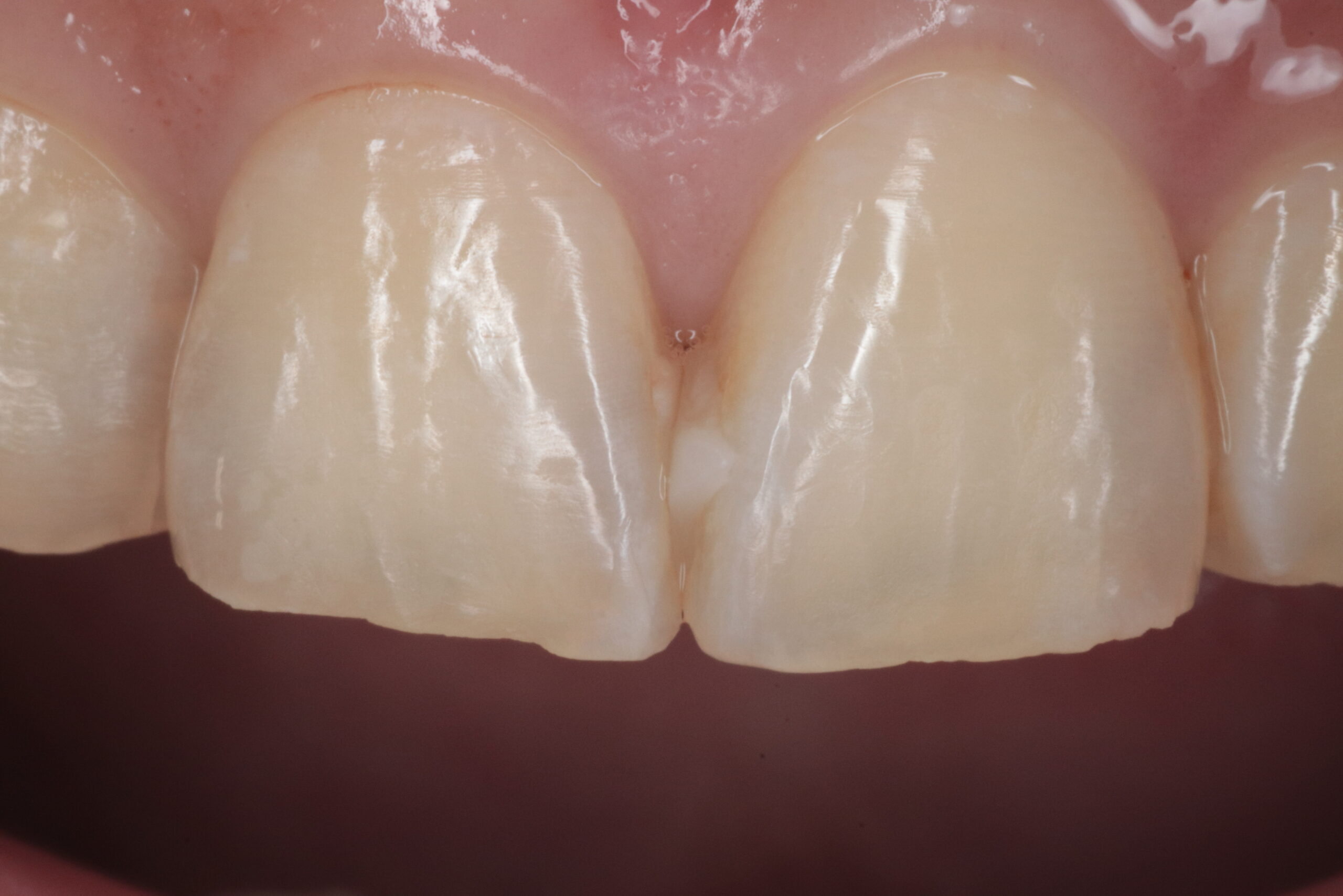
出来上がりました。

 

術前と比較すると、差がお分かりいただけると思います。

 

 

前歯ダイレクトボンディング 33,000✖️2本  合計66,000円