
社会にイイね!を、社会からイイね!を、ささき歯科医院です。
ダイレクトボンディングの経過を投稿します。
本記事がダイレクトボンディング007ですが、006の症例の続きです。

術後1ヶ月後の写真です。

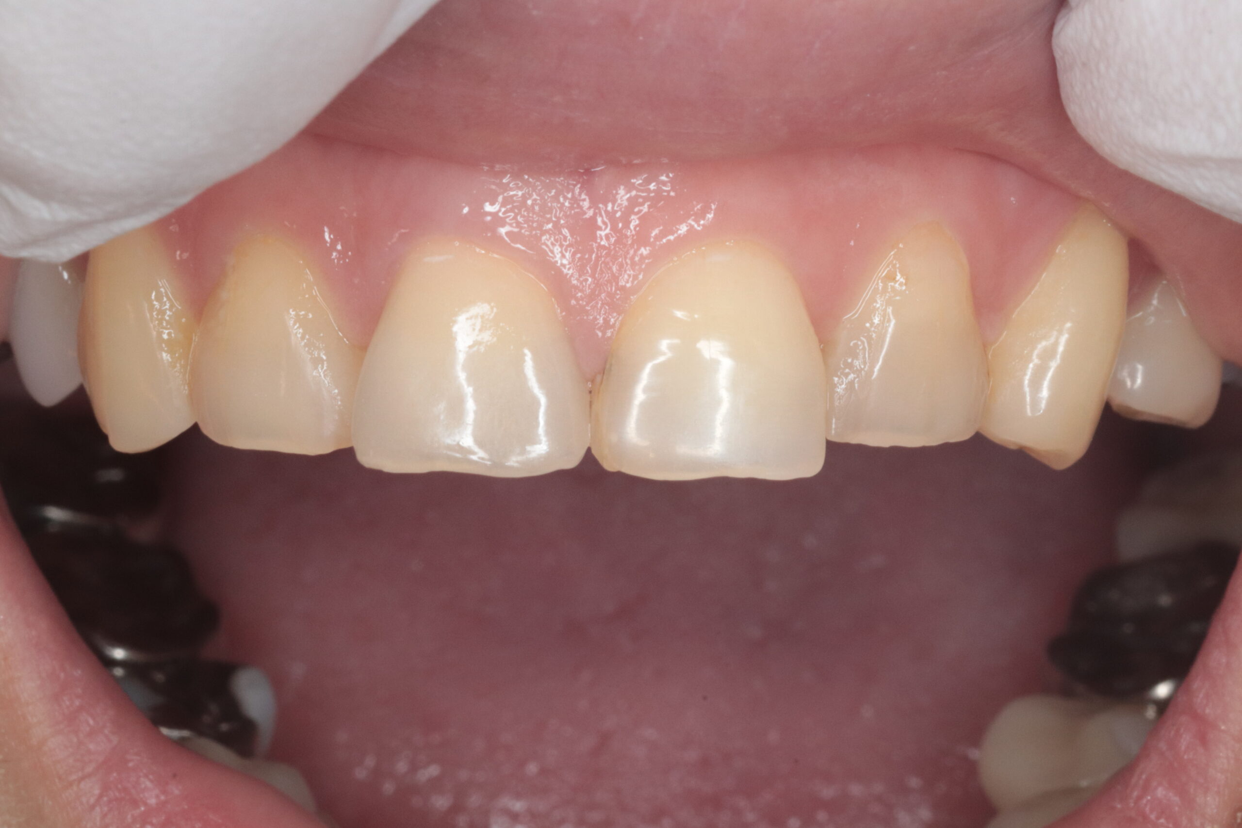
術前の状態です。
向かって右側の歯が一部欠けているのがおわかりいただけるかと思います。

写真の角度を変えてみるとわかりやすいですね。

現在の状態です。
形も元の歯を模倣し、色もうまく馴染んでいます。
ぱっと見では全くわからないぐらいには出来ました。
なかなか綺麗に出来たかと思います。
●症例投稿●ダイレクトボンディング 007 ~前歯編~

社会にイイね!を、社会からイイね!を、ささき歯科医院です。
ダイレクトボンディングの経過を投稿します。
本記事がダイレクトボンディング007ですが、006の症例の続きです。

術後1ヶ月後の写真です。

術前の状態です。
向かって右側の歯が一部欠けているのがおわかりいただけるかと思います。

写真の角度を変えてみるとわかりやすいですね。

現在の状態です。
形も元の歯を模倣し、色もうまく馴染んでいます。
ぱっと見では全くわからないぐらいには出来ました。
なかなか綺麗に出来たかと思います。