
社会にイイね!を、社会からイイね!を、ささき歯科医院です。
今回は歯周病について投稿いたします。

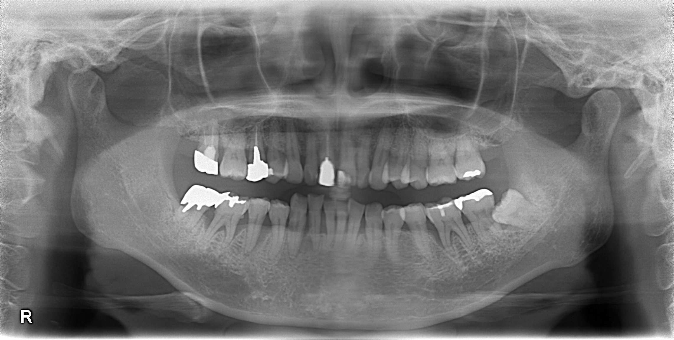
3年程度当院で歯周病のコントロールを行っている患者さんです。
歯周病治療は
①感染源の除去
②可能なら外科処置による、より高次な感染源の除去
③治療後のコントロール
という風に進んでいきます。
しかし、なかなか全ての選択肢が充分に選べるかというとそうではありません。
さて、今回の場合は
一通りの歯石の除去
プラークコントロールの徹底(歯磨きの徹底)
を行った後、1ヶ月に1回の定期検診をずっと行って歯周病の進行を遅らせていました。
しかし、最近になって下の前歯がぐらぐらと動き始めました。
治療の方法としては、
●矯正治療にてガタガタの歯を並べ
●外科処置にて感染源の除去
●全ての歯にかぶせものを行って連結固定
するのがかつてから歯科で行われている方法ですが、時間と費用がかかります。
別の方法として、

当院ではワイヤー固定(裏側)を行うことがあります。
メリットは
①回数が少ない(型取り→セット)
②リカバリーがしやすい(仮にワイヤーが壊れてもまた型取りすればすぐに戻せる)
があります。
デメリットとしては、根本的に解決しているわけではないので延命にしかならない、ということです。
どんな治療法にもメリットとデメリットがあります。
歯周病治療は、なかなか根本的に治療することは難しいとは感じますが、患者さんの協力と共に治療の工夫を行うことで、歯の寿命を伸ばすことは充分可能だと考えています。
06-6765-1700



ご予約

