●症例投稿●部分矯正 01 ~下あご前歯編~|松屋町・谷町・長堀橋の歯医者|ささき歯科医院|大人から子どもまで通える総合歯科

〒542-0067 大阪府大阪市中央区松屋町 3-20

ご予約・お問い合わせ06-6765-1700

診療時間
8:30 - 13:00
14:30 - 18:30

土曜日:9:00 - 13:00 | 
休診日:水曜・日曜・祝日

●症例投稿●部分矯正 01 ~下あご前歯編~

●症例投稿●部分矯正 01 ~下あご前歯編~|松屋町・谷町・長堀橋の歯医者|ささき歯科医院|大人から子どもまで通える総合歯科

ご予約・お問い合わせ 06-6765-1700

24時間受付中LINE予約 アクセス情報など ご来院の方へ

PAGETOP

社会にイイね!を、社会からイイね!を、ささき歯科医院です。

 

今日は部分矯正を行なった症例を投稿します。

 

部分矯正は基本的に適応が難しいです。

 

「ここちょっとだけ歯が並んだらイケてるのに、、、!」と思うことは、お分かり頂ける方はいらっしゃると思います。

 

しかし、歯並びというのは、前歯と奥歯は密接に関係しており、上の歯と下の歯も密接に関係しております。

 

すなわち、前歯1本動かすだけでも、

・隣の歯との兼ね合い

・奥の歯との兼ね合い

・噛み合わせの兼ね合い

と、本当に色々考えないといけません。

 

当院で部分矯正を勧める場合は、

●噛み合わせがもう少しだけ歯の移動があれば楽になるのに

●歯並びがもう少しだけ整っていたら歯の寿命が延びるのに

というシーンが多いです。

 

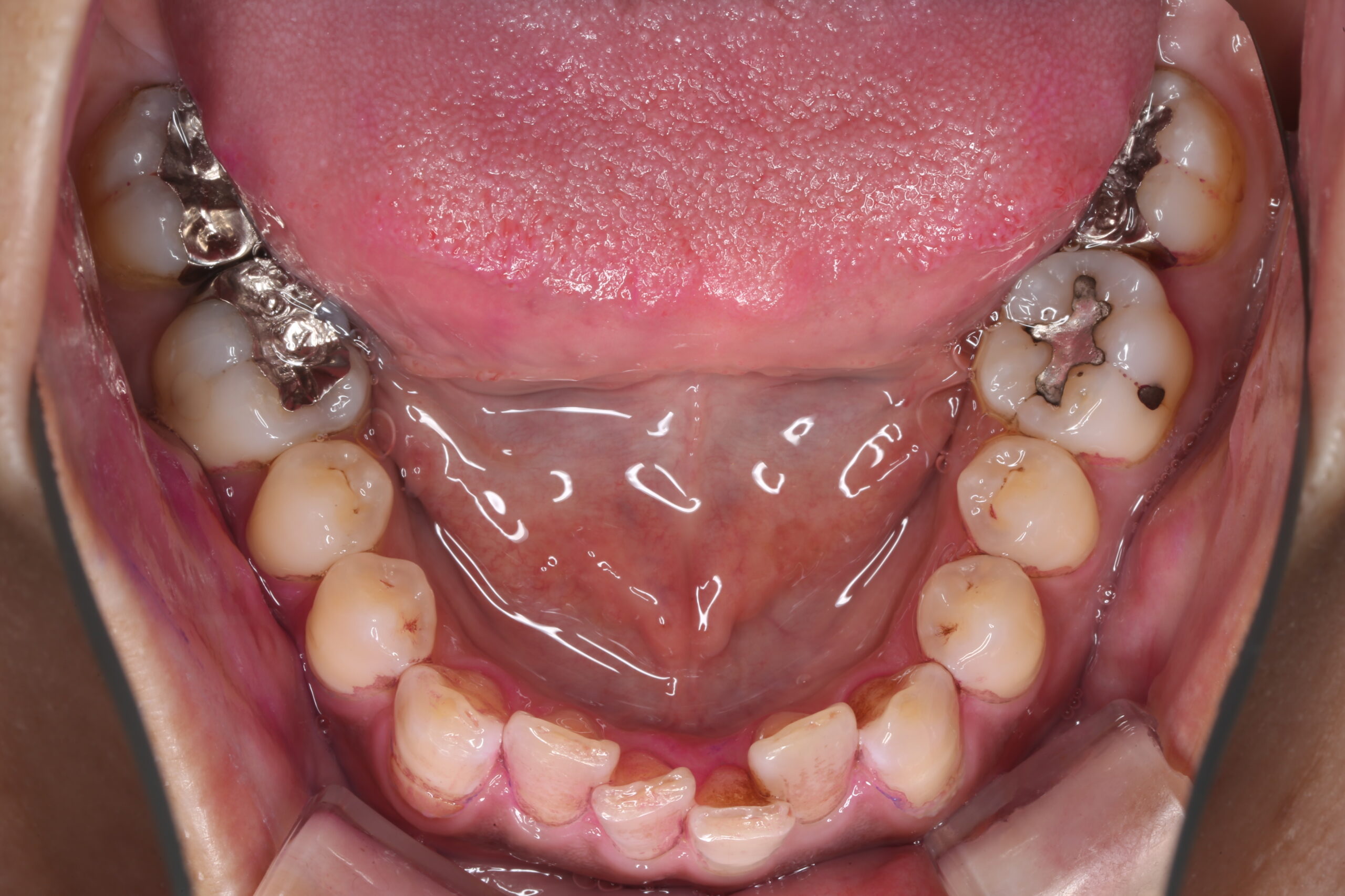
上の前歯を複数本治療する患者さんでした。

 

上下の奥歯の関係は悪くありませんでしたが、下の前歯の叢生(がたつき)が良くありませんでした。

 

下の前歯に叢生があると噛み合わせが作りにくく、最終的な修復物の寿命が短くなることが多いため、矯正治療で歯並びを整えることになりました。

 

期間の制限もあり、完全に、とは言えませんが整えることができました。

 

これにより上の前歯の修復の難易度が大きく下がり、また歯の寿命も長くなります。

 

矯正治療後は保定といって、元の位置に戻らないようにキープする期間がかなり必要ですが、これにより移動させた歯をその位置で維持させることが出来ます。

 

!保定をおろそかにしてしまうと、せっかく動かした歯が元に戻ってしまうので、注意が必要です!

 

 

かかった費用

部分矯正(インビザライン使用) 330,000円