●症例投稿● セラミックアンレー 003 ~奥歯編~|松屋町・谷町・長堀橋の歯医者|ささき歯科医院|大人から子どもまで通える総合歯科

〒542-0067 大阪府大阪市中央区松屋町 3-20

ご予約・お問い合わせ06-6765-1700

診療時間
8:30 - 13:00
14:30 - 18:30

土曜日:9:00 - 13:00 | 
休診日:水曜・日曜・祝日

●症例投稿● セラミックアンレー 003 ~奥歯編~

●症例投稿● セラミックアンレー 003 ~奥歯編~|松屋町・谷町・長堀橋の歯医者|ささき歯科医院|大人から子どもまで通える総合歯科

ご予約・お問い合わせ 06-6765-1700

24時間受付中LINE予約 アクセス情報など ご来院の方へ

PAGETOP

社会にイイね!を、社会からイイね!を、ささき歯科医院です。

 

今日は院長の好きな処置の一つである、セラミックアンレーの症例を投稿します。

 

 

右下に違和感があるということで来院されました。

 

右下の奥から2番目の歯に大きな虫歯があり、根管治療を行うことになりました。

 

根管治療終了後、無くなった歯を補う治療へ移りました(修復治療、補綴治療と言われます)。

 

 

いつものようにラバーダムをかけます。

 

 

横から見るとこのようになっています。

 

ご覧頂くと歯がかなり残っていることがお分かり頂けると思います。

 

かつて、歯の噛み合わせを修復するためにはクラウンといって、歯を大幅に削り込むことでしか歯を作ることができませんでした。

 

ーーーー

ちなみにクラウンのための形成を行うと、

歯は大幅に削られ、茶筒のようになります

ーーーー

 

しかし、現代の進んだセラミック、セラミックのための接着セメントを使用すれば、大幅にエナメル質を残して歯を修復することができます。

 

歯の形を整える形成処置にコツがいります、噛み合わせをちゃんと狙って形を作らないと割れやすいというトラブルがありますが、それは技工士との連携で問題なくクリアすることができます。

 

ひと手間をかけることで歯を削らないで済むなら、それぐらいの手間は惜しみません。

 

 

セット前の試し入れです、適合を確認します。

 

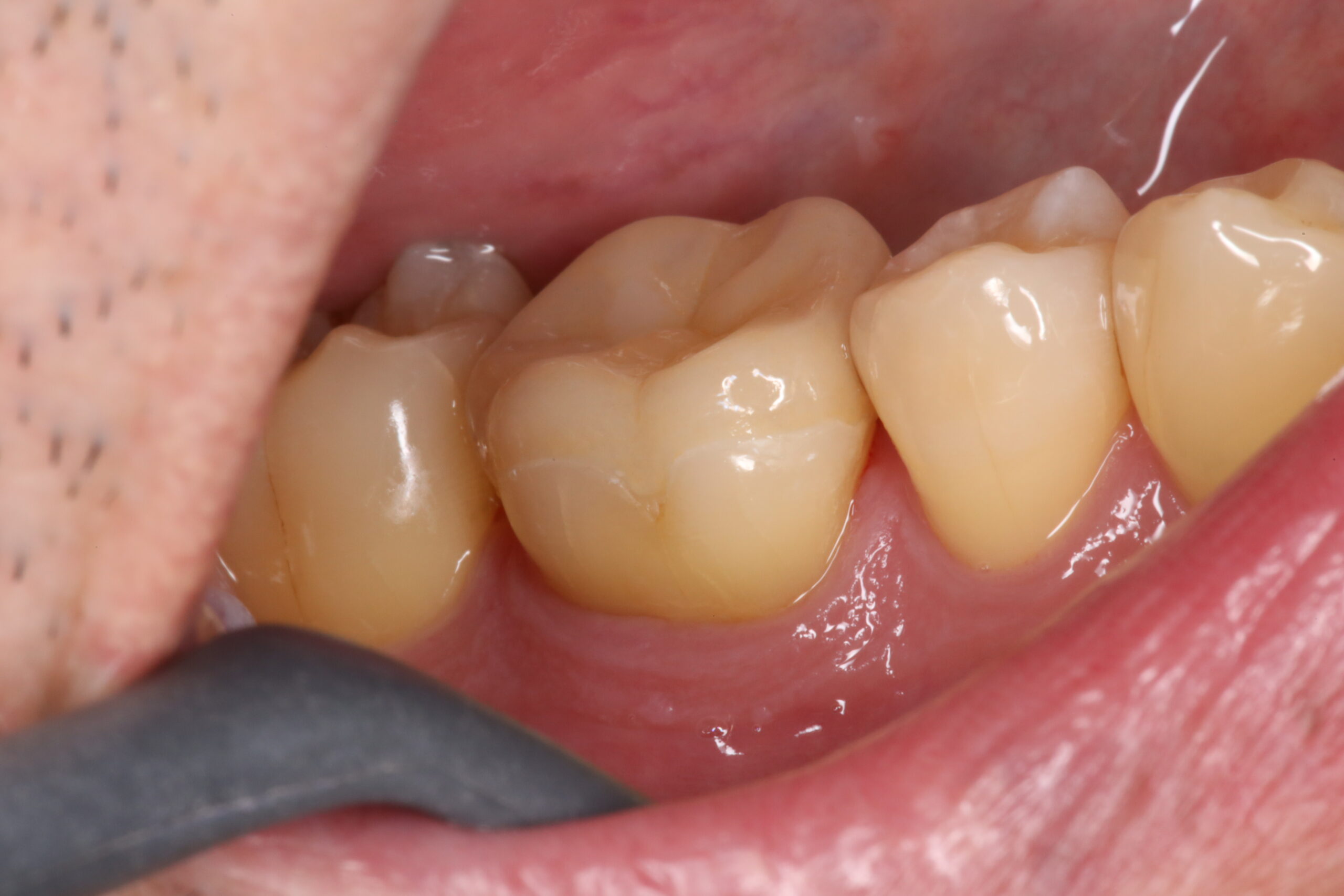
セメントを入れてセットし、

 

 

セット致しました。

 

 

まだセット直後なので境目が色の違いとしてはっきり見えますが、歯の色調が時間と共に回復することでばっちり合ってくることでしょう。

 

ただのセラミック治療ではなく、

・噛み合わせの細かさ

・途中の工程のシビアさ

・経験値の多さ

をお求めになるならささき歯科医院へどうぞお越しください。

 

 

かかった治療費用

セラミックアンレー(専門技工士製作) 80,000円