●症例投稿● セラミッククラウン 003 ~奥歯編~|松屋町・谷町・長堀橋の歯医者|ささき歯科医院|大人から子どもまで通える総合歯科

〒542-0067 大阪府大阪市中央区松屋町 3-20

ご予約・お問い合わせ06-6765-1700

診療時間
8:30 - 13:00
14:30 - 18:30

土曜日:9:00 - 13:00 | 
休診日:水曜・日曜・祝日

●症例投稿● セラミッククラウン 003 ~奥歯編~

●症例投稿● セラミッククラウン 003 ~奥歯編~|松屋町・谷町・長堀橋の歯医者|ささき歯科医院|大人から子どもまで通える総合歯科

ご予約・お問い合わせ 06-6765-1700

24時間受付中LINE予約 アクセス情報など ご来院の方へ

PAGETOP

社会にイイね!を、社会からイイね!を、ささき歯科医院です。

 

今日は奥歯にセラミック治療を行った症例を投稿します。

 

ジルコニアクラウン(ステイニング法)で製作いたしました。

 

 

今回のセラミック治療の提出物です。

 

————————————————————————————————————————————————————————

当院の〜お知らせ〜をさかのぼって見ていただいた方はもしかしたら気付いて頂けるかもしれません。

(提出物少なくない・・?)

とお思いではありませんか?

 

過去のセラミックの治療の際には、

上あご、下あごの全体の模型

対象の歯のシリコン印象

噛み合わせのシリコン印象

を提出していました。

 

今回の治療においては、

対象の歯のシリコン印象

上あご、下あごのデータ

のみしか提出しておりません。

 

 

歯を作る際に必要なのが、

対象の歯

上下の噛み合わせ

の情報です。これを歯科技工士に伝達することで歯が出来上がってきます。

 

今まで歯科会では、これを印象材で行ってきました(粘土みたいなやつです)。

 

しかし、お口の中の情報をカメラで撮影し、データ化できる時代がやってきました。ついこの2・3年のことです。

私は最先端の治療を勉強し、臨床に活かしております、データでセラミックを作ると、噛み合わせを以前よりもより高い精度で狙うことができ、また患者さんの負担も大きく減じることができております。

適応できる場合とそうでない場合がありますが、適応できる状況においては積極的に使用しております。

———————————————————————————————————————————————————————–

 

今回はラバーダムを使用することが困難な状況なため、使用せずセットを行います。

 

 

セット前の状況です。

 

歯茎からの出血がなく、また対象の歯に虫歯や汚れがないことがお分かりいただけると思います。

特に出血は天敵です、セメントが固まりませんし、歯が汚染されてしまいます。

 

 

対象の歯の状態です。歯科技工士は、これを元にセラミックの歯を製作します。

 

細かく解説すると長くなるので割愛しますが、

・均一なマージン幅

・適切なテーパー(私は機械的嵌合を重視して、テーパーをきつめに形成するのが好きです)

・滑らかな形成面

が達成できているのがわかります。

 

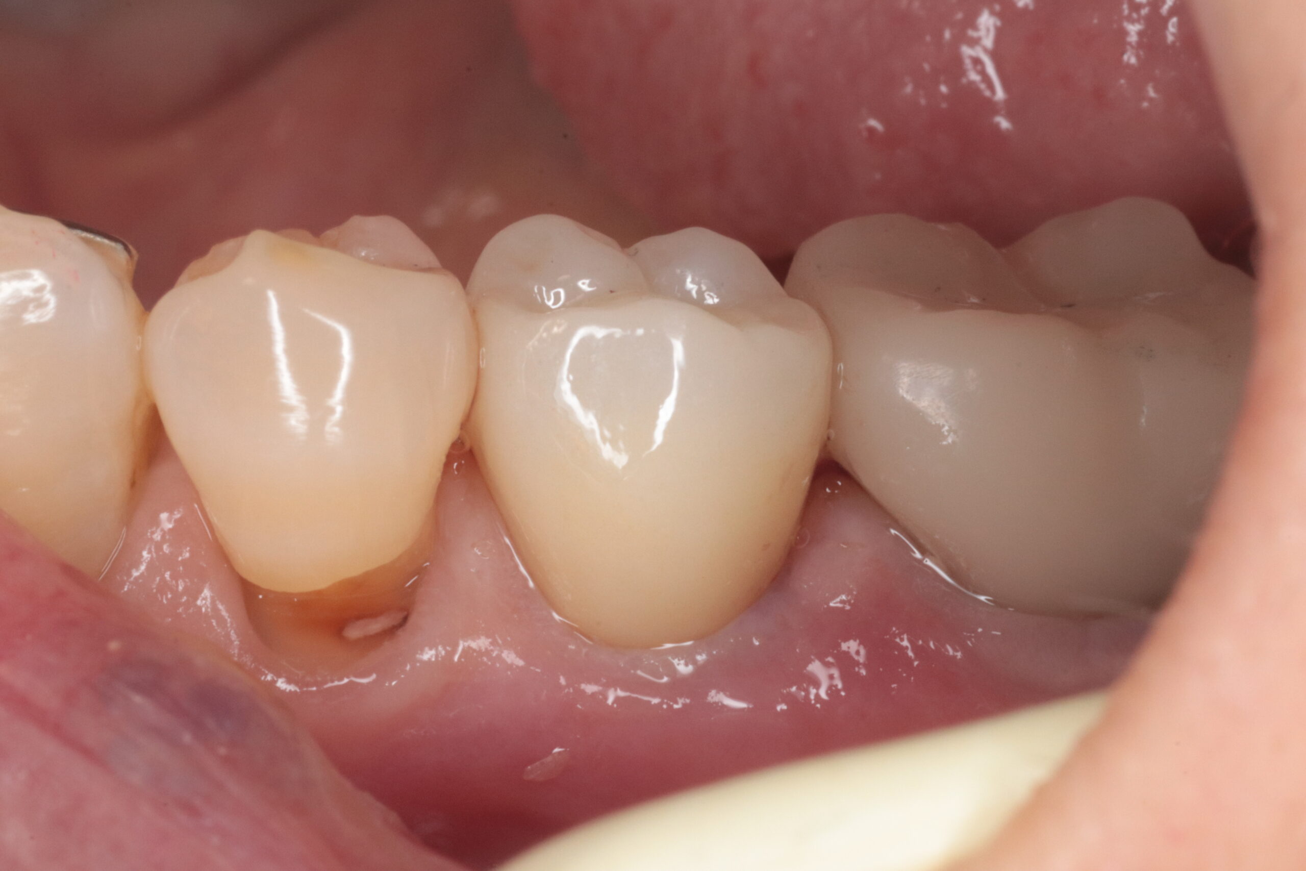
セット後の写真です。

 

歯ぐきとの馴染みも良く、一見すると自分の歯と間違えるのではないかという出来で終えることができました。

 

 

 

かかった治療費用

セラミッククラウン(専門技工士作成) 132,000円

(形成〜仮歯製作〜シリコン印象処置・データ印象処置〜セット、までの全ての工程がこの中に含まれる)