
目次
谷町・松屋町・長堀橋の歯医者、ささき歯科医院です。
今日は「虫歯になったらどうやって治すの?」第2弾です。
大きく分けると、歯科における修復処置は
①コンポジットレジン充填
②インレー・アンレー修復
③クラウン修復
の3つに分けられます。
前回は①の前歯編でした。今回は①、コンポジットレジン充填の奥歯編へ移ります。

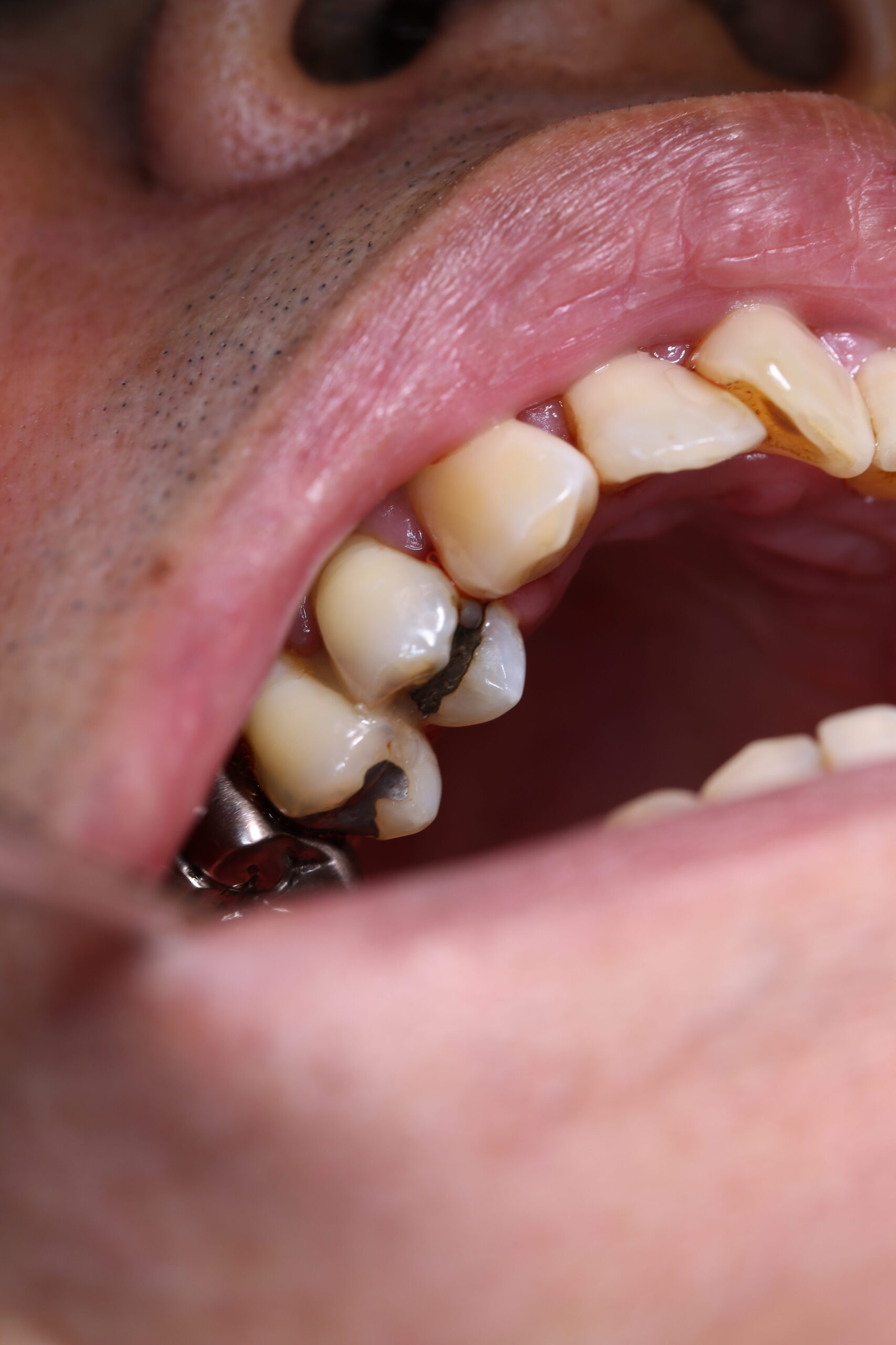
50代の男性の方で、右上の歯がシミるということで来院されました。
右上の歯にアマルガムという金属が充填されています。(つめものをすることを充填する、と歯科では表現します)
アマルガムは現在の歯科では使用されておりません、また水銀が含まれており金属アレルギーの原因にもなるので、当院では発見次第撤去するようにしています。
さて、この方の修復範囲は小さい部類に入ると予想されます。

奥歯の咬みあわせる部分をコンポジットレジンで修復する場合、咬みあわせの面積の3分の1におさめることが求められます。
ピンク色の矢印の3分の1になんとかおさまりそうなので、今回は問題ないと判断しました。
が。
レントゲン写真を撮影し、アマルガム、虫歯を除去していってみると、

なかなか大きく歯が無くなっていました。
しかもよく見てみると、

ピンク色の矢印のところにヒビが入っています。
これを追跡してしっかり修復するため、今回はアンレー処置になりました。
コンポジットレジン充填の適応範囲は狭いです。

図の線で囲ってある部分ぐらいまでならコンポジットレジンで対応できますが、それより逸脱して虫歯になってしまうと、充填しきれません。
正確に言うと、その場ではなんとなく白い修復ができたとしても、何ヶ月か経っただけで歯茎が腫れたり、また虫歯を作ってしまいます。
自宅のテレビを修繕に出したけど、修繕の方法を間違えたために、ふたたび潰れて修繕に出さないといけないことになってしまう、といったところでしょうか(例えがイマイチで申し訳有りません)。
患者さんから、「保険の範囲で白いつめものがあると聞いたのですが」と質問されることは多いです。
もちろんできる状況の時もありますし、そういう時はしっかり治療いたします。
が、虫歯の範囲が大きい、虫歯の場所が難しい、そういう時はコンポジットレジンが適応にならず、保険の範囲だと銀色の修復物が入ることになります。
見えるところだから白くして欲しい、というお気持ちも充分にわかるのですが、再び虫歯を作るのをわかっていてコンポジットレジン充填を適応するのは歯科医師として間違っていると私は考えるため、当院では無茶なコンポジットレジン充填は行いません。
実際、よそでは白くしてくれたのに!という方の歯を見てみると、そこかしこにコンポジットレジンの境目から虫歯になっているのを見つけることがあります。
それを写真で撮ってお見せするとみなさんとても残念がられます、せっかく治したのにまた虫歯か、と。
歯科医院では、
・痛みをとる
・虫歯をとる
・綺麗につくる
・長持ちさせる
を目的とします。
このうちどうにもこうにも我慢できないのは痛みであったり虫歯が存在することではないでしょうか。
虫歯がないけど綺麗じゃなく見た目が悪いのを良しとするわけではありません。
しかし、時と場合によってはやむをえずコンポジットレジン充填、見た目がいい治療を選べない状況があるわけです。
長くなってしまいましたが、「虫歯になったらどうやって治すの?」第2弾、コンポジットレジン編はこれで終了になります。
次回はインレー、アンレー修復編へ参りましょう。
2月、3月の診療カレンダーです。
特に最近土曜日のお約束が取りにくい状況が続いております、申し訳ありません。
今後ともよろしくお願いいたします。


06-6765-1700



ご予約

